Стаж - 10 лет
Керимли Джавид Эльханович
★★★★★
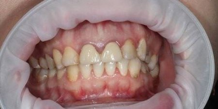
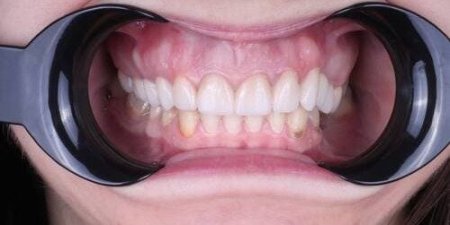
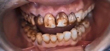
Специализируется на установке съемных и несъемных протезов, виниров, зубных коронок, зубных мостов.
Специальность:
Стоматолог-ортопед, терапевт







